Published: 2025-10-31


Abstract Views | PDF/EPUB Downloads: :389 / 181 / 136
DOI: https://doi.org/10.60787/phmj.v19i3.220

The aftermath of sexual violence among young adult females in Southern Nigeria: disclosure, care-seeking, consequences and effects on sexual behaviour

Chika Onyinyechi Duru, Ulunma Ikwuoma Mariere, Perpetual Ogechukwu Nwankwo, Eugene Maduabuchukwu Ikeanyi, Alice Romokek Nte (Author)

137 - 145


Abstract Views | PDF/EPUB Downloads: :1879 / 357 / 129
DOI: https://doi.org/10.60787/phmj.v19i3.212

Dental emergencies at the University of Port Harcourt Teaching Hospital

Efetobo Victor Orikpete, Kesiena Seun Yarhere (Author)

145 - 153


Abstract Views | PDF/EPUB Downloads: :765 / 219 / 144
DOI: https://doi.org/10.60787/phmj.v19i3.215

Abstract Views | PDF/EPUB Downloads: :947 / 280 / 194
DOI: https://doi.org/10.60787/phmj.v19i3.214

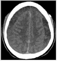
Intracranial subdural haematomas: a rare but disabling complication of spinal anaesthesia

Linda Iroegbu-Emeruem, Idawarifagha Hart, Fiekabo Hart, Uchenna Ajoku, Boma Oyan (Author)

165 - 172


Abstract Views | PDF/EPUB Downloads: :443 / 218 / 163
DOI: https://doi.org/10.60787/phmj.v19i3.213

Abstract Views | PDF/EPUB Downloads: :1161 / 254 / 145
DOI: https://doi.org/10.60787/phmj.v19i3.216